コテツちゃん



住宅街で骨折して動けなくなり倒れて鳴いているところを保護。
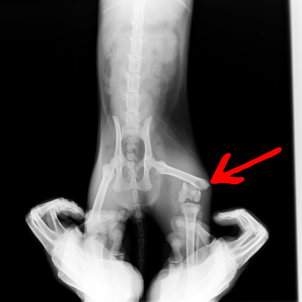
左足大腿骨が完全にポッキリ折れていて、手術となりました。
レントゲンの結果、今は9割くらい骨がくっついてきている良好な状況で、歩行等に問題が無くなってきましたので里親さんを募集いたします。
5ヶ月ほどの月齢の男の子で、健康で、大変人懐っこい子です。























「QOL南大阪保護猫シェルター」https://pet-p.com/
シェルターInstagram https://www.instagram.com/qolcatshelter/



